Ice Cream
By Tom Gilsenan
School of Chemical Engineering
University of Birmingham
At first glance, ice cream seems like a simple product. Simply take some cream, add sugar and flavours and freeze. However, this is far from the case. A lot of time and effort goes into improving the processing and structure of ice cream.
Ice cream is what we call a multiphase system. Multiphase means that several states of matter (or phases) coexist in a product or system. In the case of ice cream, there is a solid phase, a gas phase and two liquid phases, which can make processing the ice cream quite complicated.
Wait a minute, did you say two liquid phases?
That’s right, two liquid phases. Two liquids are immiscible when they don’t readily mix together without putting energy into the system (by shaking or other methods). Think oil sitting on top of water. When we shake a mixture of oil and water, small droplets of oil form in the water. This is what we call an emulsion. If we leave the emulsion for long enough, the oil will float back to the top and form a separate layer again.

The image above shows two immiscible liquids. The oil phase is shown in orange and the aqueous (water) phase is shown in blue.
Beaker a shows the oil phase completely separate from the aqueous phase. This is because of the difference in polarity between the oil and water. The oil sits on top because it’s less dense than the water.
By agitating the beaker, we can form small droplets of oil dispersed throughout the water. This is shown in beaker b. This is unstable and if left alone, the oil and water will separate out again.
In beaker c, the droplets have floated back to the top of the beaker. This is known as creaming and is caused by a difference in density between the two phases. If the droplets were heavier than the water, they would sink to the bottom (this is known as sedimentation).
In beaker d, we have added an emulsifier, which stabilises the emulsion by reducing the interfacial tension.
Additionally, air is dispersed throughout the ice cream. Without the air, the ice cream would essentially be a block of ice, which when bitten, might lead to a trip to the dentist. Air helps to soften the ice cream and also makes it feel less cold in the mouth.
We need to make sure that the droplets of fat and air bubbles are the desired size and evenly distributed throughout the ice cream to ensure that the customer receives the product that they expect. This is where chemical engineers come in. One of the jobs of a chemical engineer is to design and operate a process which produces a consistent product.

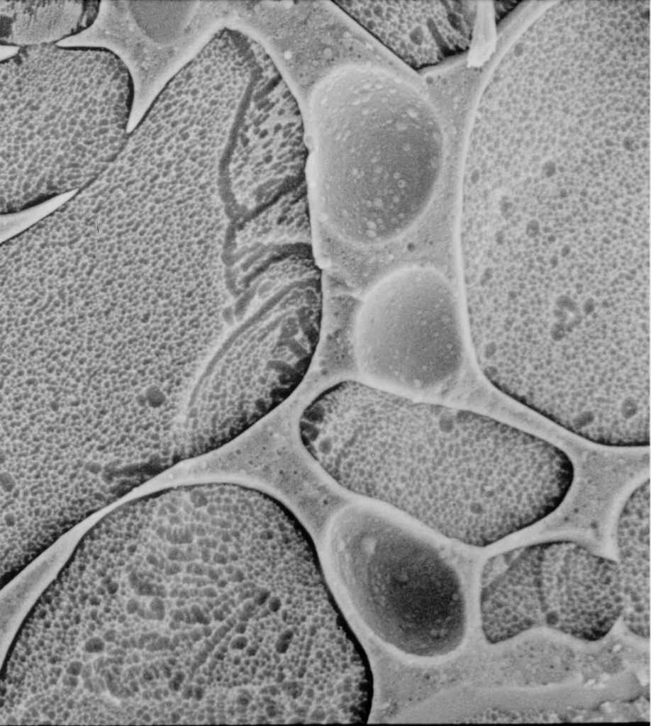
This is a close-up picture of ice cream and was taken using a scanning electron microscope (SEM). Note that the unfrozen water contains sugar and proteins and is known as the matrix.
This image was used with permission from Goff, H. Douglas1.
Now that we’ve got that cleared up, here’s how chemical engineers make ice cream:
Step one – Mixing – The milk powder, sugar and butterfat are mixed together in warm water. The emulsifiers and stabilisers are added gradually, to ensure that they are evenly mixed. This is very important as it ensures that the final product has a consistent flavour and texture.
Step two – Homogenisation – Homogenisation is the process of reducing the size of the droplets of fat in the ice cream to an even size. This helps to give a consistent texture to the final product and also helps to prevent the fat from separating from the rest of the mixture.

Chemical engineers do this by squeezing the mixture through a small gap which stretches and then breaks the droplets into small equally sized droplets. The image shows fat droplets in orange being passed through a homogeniser.
Step three – Pasteurisation – Pasteurisation is one of the most important steps in many areas of food processing. It reduces the number of bacteria in food to a level that is safe for consumption. This is done by heating the mixture to a given temperature for a set amount of time. Too cold or too short a time and too much bacteria will remain in the food potentially leading to food poisoning. Too hot or too long a time and energy might be wasted or worse, the product could be ruined.
Step four – Ageing – The mixture is held at a given temperature and stirred. The process varies significantly between manufacturers and has a big effect on the properties of the final product. During ageing, the liquid fat droplets begin to crystallise.
Step five – Freezing – After ageing, the temperature of the ice cream is reduced from about 5°C down to -5°C using a heat exchanger. A heat exchanger is a device used to raise or lower the temperature of a fluid. An example is a radiator, where hot water is pumped through the radiator, heating the surrounding air. When freezing ice cream, a really cold gas is pumped around the heat exchanger, cooling the ice cream mixture down to the required temperature. Air is usually added to the mixture at this stage.
Step six – Hardening – The ice cream is then shaped into the desired shape or pumped into a container before going into a very cold freezer known as a blast freezer. This stops any of the fat droplets or air bubbles from moving around or coalescing. This helps to maintain the desired texture.
Step seven – Cold Storage & Transport – The ice cream is then stored in a typical freezer before being transported to shops and retailers.
In ice cream, each ingredient is carefully selected for one or several purposes. The cost of each ingredient is considered, as well as how easy it is to process the ingredient.
Air – Adding air into the ice cream makes it softer and feel less cold in the mouth. It also makes it cheaper since air is virtually free. This means that more premium brands of ice cream typically contain less air.
Sugar – Sugar plays an important role in many foods beyond making them sweeter. Adding sugar to water reduces the freezing point of the solution (think adding salt to roads on a cold day). Sugar also reduces the total amount of water that will freeze, leading to a softer texture.
Milk Powder – In many processes, including a lot of ice cream manufacturing, we use skimmed milk powder rather than regular milk that you’d find in a shop. Skimmed milk powder contains the milk solids and proteins found in milk but the water and fat are removed. This is useful as we can better control the amount of water and fat used in the process if they are added separately. The proteins in the milk powder help to stabilise the ice cream.
Butterfat – This is the fat found in milk and cream. Fat is used to add richness and carry flavour in the ice cream. A less well-known use of fat in ice cream is that it helps to stabilise the air bubbles in the ice cream.
Emulsifiers – These are compounds which stabilise emulsions by reducing the interfacial tension (surface tension but for two liquids) between the oil phase and the water phase.
Stabilisers – These are a group of compounds with different functions. One of the more useful functions in ice cream is the stabilisation of foam. Stabilisers do this by stopping the air bubbles from coalescing with each other. Another job for stabilisers is to thicken the mixture, by increasing the viscosity of the unfrozen water.
References
[1] Goff, H. Douglas. Foods under the microscope – ice cream structure. https://www.uoguelph.ca/foodscience/foods-under-microscope-ice-cream-structure, acessed 23rd August 2023, used with permission.
